Javascript must be enabled for the correct page display
Please note our holiday hours:
We're open until 1:00pm December 24
th
and 31
st
, and closed December 25
th
and 26
th
(210) 981-6018
Mon–Fri:
8:00am – 5:00pm
, Sat–Sun:
Closed
Phone
Hours
Follow us
Contact Us
(210) 981-6018
Working Hours
Monday – Friday
8:00 am – 5:00 pm
Saturday – Sunday
Closed
Follow Us
Facebook
Instagram
YouTube
Yelp
Google
Search
Main Menu
Smile Gallery
Services
Toggle Dropdown
Emergency Dentist
Preventive Dentistry
Toggle Dropdown
Dental Checkups
Gum Disease Treatment
Restorative
Toggle Dropdown
DIOnavi Dental Implants
Dental Implant Failure & Salvage
Dental Implants
Dentures
Cosmetic
Toggle Dropdown
Candid
Orthodontics
Smile Makeover
Veneers
Conditions
Toggle Dropdown
Periodontal Disease
Sleep Apnea Treatment
Children's Dentist
About Us
Toggle Dropdown
Meet the Team
Toggle Dropdown
Dentists
Support Staff
Hygienists
Office Tour
Testimonials
Community Involvement
Dental Technology
Dentist Near Forest Crest In San Antonio
FAQs
Blog
Patient Info
Toggle Dropdown
In-House Savings Plan
Insurance & Financing
New Patients
Special Offers
Search
Request an Appointment
Request an Appointment
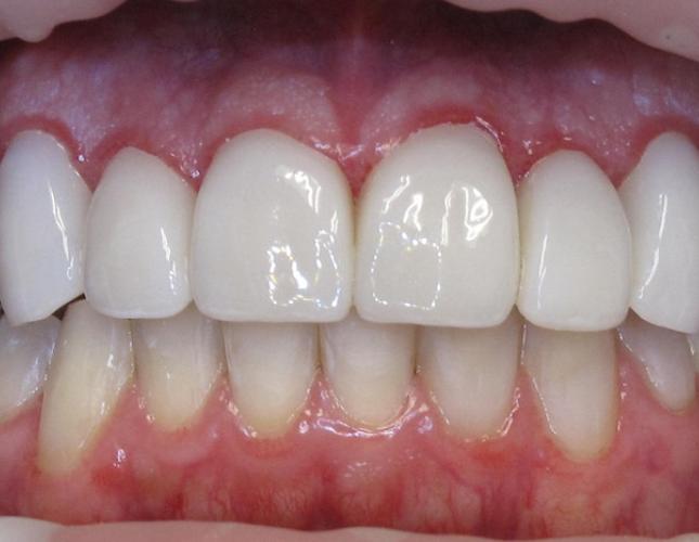
Case 5
Anonymous