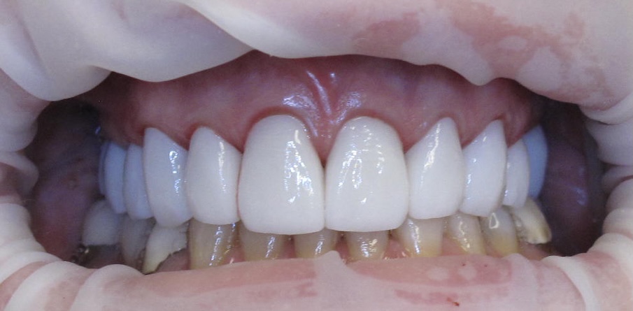
Full Upper Arch Crown Restoration
This patient came to us with failing upper crowns, including open margins and a cracked crown that affected both comfort and appearance. A full upper arch crown restoration was completed to restore function, protect the teeth, and create a strong, natural-looking smile.
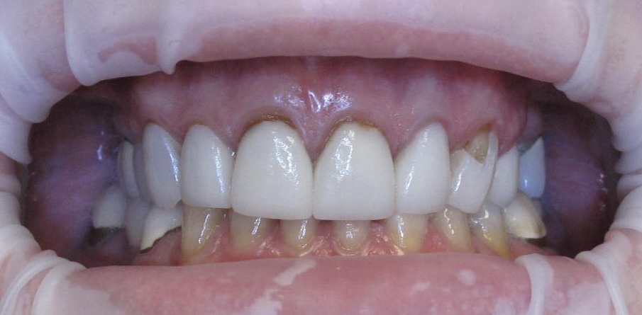
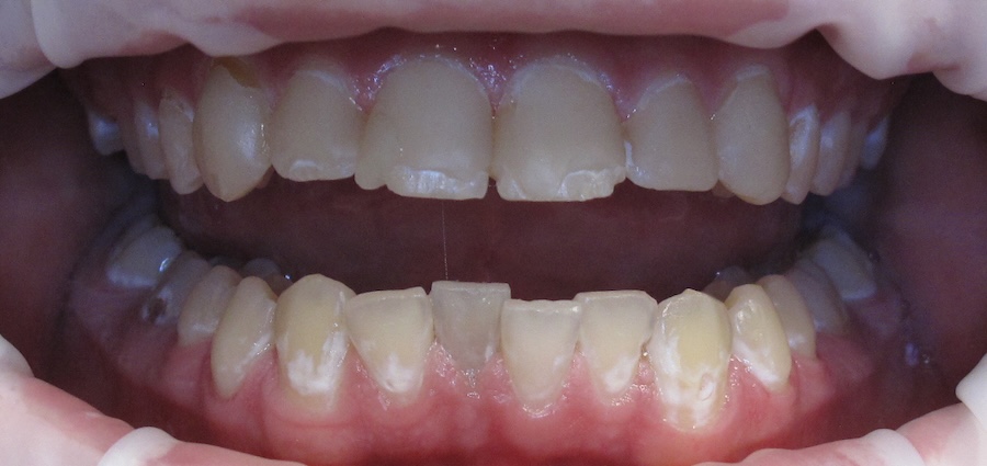
Anterior Crown Restoration Teeth 6-12 And Composite On Lower Arch
This patient presented with rampant caries affecting teeth #6–12, along with failing anterior lower fillings that compromised both function and appearance. Comprehensive crown restorations were completed to restore dental health, strength, and a natural, confident smile.
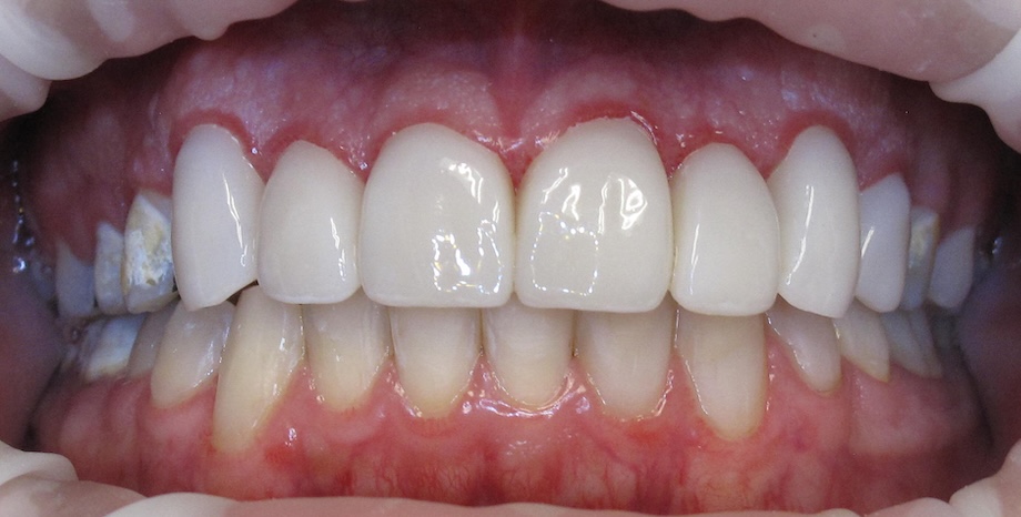
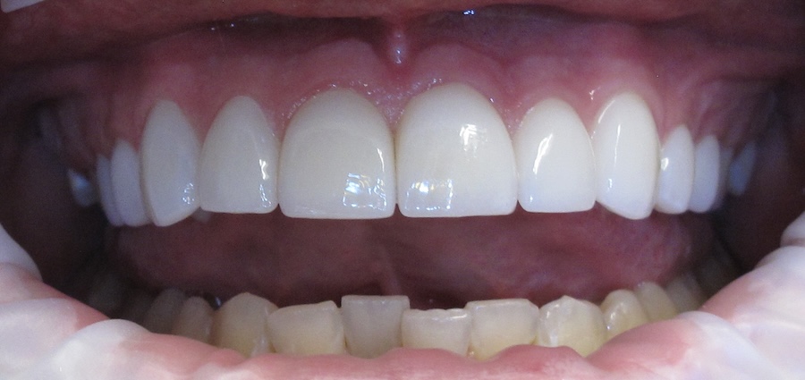
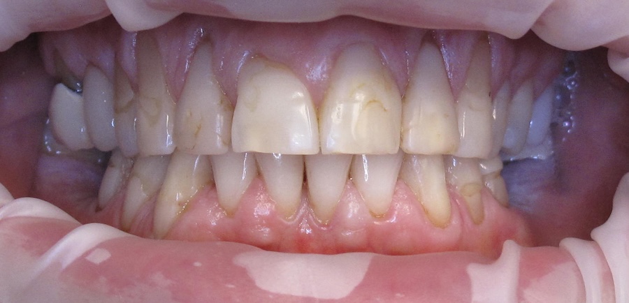
Discoloration With Patch Up Composite White Filling So Uneven Color And Wear On Teeth
This patient was unhappy with uneven tooth color caused by discoloration, patchwork composite fillings, and visible wear. A full arch crown restoration was completed to create a uniform, natural-looking smile while restoring strength and function.
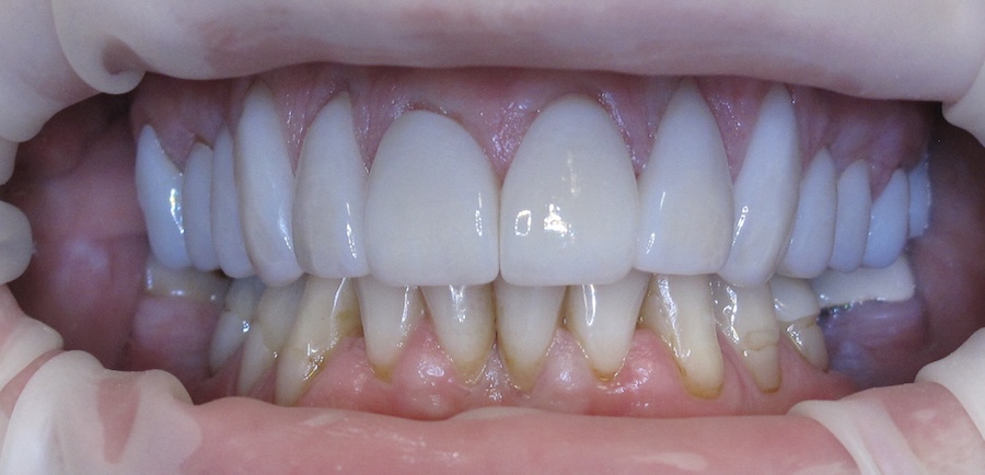
Implant Bridge
This patient came in wearing partial dentures on the top and bottom, with only two teeth remaining on the upper arch and a total of six remaining teeth overall. A posterior implant-supported bridge was placed to restore her bite, improve chewing function, and provide a more stable, confident smile.